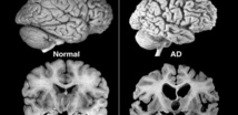
El fármaco experimental LMTM, de la firma TauRx Therapeutics Ltd., con sede en Singapur, está diseñado para reducir la acumulación de las proteínas tau en el cerebro.
Cuando el cerebro no funciona correctamente, esa proteína se acumula de forma anormal en algunas partes, lo que lleva a degeneraciones neuronales tales como la enfermedad de Alzheimer, la forma más común de demencia.
El ensayo clínico en cuestión se realizó con 891 personas sospechosas de tener la enfermedad. No hubo ningún cambio en tres grupos que tomaron una dosis de LMTM, dos dosis o un placebo. La mayoría de los pacientes tomaba también otros tratamientos ya existentes contra el Alzheimer.
Pero, un pequeño grupo de unos cien pacientes que tomaron el fármaco experimental sin ningún otro tratamiento adicional mostró un ritmo de atrofia cerebral muy lento, según los resultados del estudio presentado el miércoles en la Conferencia de la Asociación Internacional de Alzheimer, reunida en Toronto.
"Los resultados del estudio no mostraron beneficios del tratamiento para ninguno de los grupos, independientemente de la dosis del fármaco, en los análisis preliminares", señaló Serge Gauthier, autor del estudio, profesor de neurología de la Universidad McGill.
"Sin embargo, los análisis complementarios dieron resultados muy alentadores y mostraron que los pacientes que tomaron sólo el LMTM tuvieron un declive significativamente más lento que los pacientes que tomaron LMTM asociado con otros tratamientos existentes", agregó.
"En un terreno minado por los fracasos constantes de nuevos fármacos probados en las últimas etapas de los ensayos clínicos y donde no ha habido ningún avance terapéutico en la última década, estoy entusiasmado con las promesas mostradas por el LMTM como una potencial nueva opción de tratamiento para estos pacientes", destacó Gauthier.
Expertos no involucrados en el estudio optaron por la prudencia, no obstante. El descubrimiento "es interesante pero también complejo y tomará tiempo ver lo que realmente significa", advirtió María Carrillo, directora científica de la Asociación Internacional de Alzheimer.
"Se necesita más investigación para ayudarnos a entender este descubrimiento", agregó.
Casi 47 millones de personas en el mundo sufren de algún tipo de demencia, una cifra que se proyecta que ascenderá a 131,5 millones en 2050, según la Asociación Internacional de Alzheimer.
No existe un tratamiento en la actualidad, pero los últimos 20 años las autoridades sanitarias de Estados Unidos han aprobado cinco medicamentos para tratar los síntomas de la enfermedad de Alzheimer.
Cuando el cerebro no funciona correctamente, esa proteína se acumula de forma anormal en algunas partes, lo que lleva a degeneraciones neuronales tales como la enfermedad de Alzheimer, la forma más común de demencia.
El ensayo clínico en cuestión se realizó con 891 personas sospechosas de tener la enfermedad. No hubo ningún cambio en tres grupos que tomaron una dosis de LMTM, dos dosis o un placebo. La mayoría de los pacientes tomaba también otros tratamientos ya existentes contra el Alzheimer.
Pero, un pequeño grupo de unos cien pacientes que tomaron el fármaco experimental sin ningún otro tratamiento adicional mostró un ritmo de atrofia cerebral muy lento, según los resultados del estudio presentado el miércoles en la Conferencia de la Asociación Internacional de Alzheimer, reunida en Toronto.
"Los resultados del estudio no mostraron beneficios del tratamiento para ninguno de los grupos, independientemente de la dosis del fármaco, en los análisis preliminares", señaló Serge Gauthier, autor del estudio, profesor de neurología de la Universidad McGill.
"Sin embargo, los análisis complementarios dieron resultados muy alentadores y mostraron que los pacientes que tomaron sólo el LMTM tuvieron un declive significativamente más lento que los pacientes que tomaron LMTM asociado con otros tratamientos existentes", agregó.
"En un terreno minado por los fracasos constantes de nuevos fármacos probados en las últimas etapas de los ensayos clínicos y donde no ha habido ningún avance terapéutico en la última década, estoy entusiasmado con las promesas mostradas por el LMTM como una potencial nueva opción de tratamiento para estos pacientes", destacó Gauthier.
Expertos no involucrados en el estudio optaron por la prudencia, no obstante. El descubrimiento "es interesante pero también complejo y tomará tiempo ver lo que realmente significa", advirtió María Carrillo, directora científica de la Asociación Internacional de Alzheimer.
"Se necesita más investigación para ayudarnos a entender este descubrimiento", agregó.
Casi 47 millones de personas en el mundo sufren de algún tipo de demencia, una cifra que se proyecta que ascenderá a 131,5 millones en 2050, según la Asociación Internacional de Alzheimer.
No existe un tratamiento en la actualidad, pero los últimos 20 años las autoridades sanitarias de Estados Unidos han aprobado cinco medicamentos para tratar los síntomas de la enfermedad de Alzheimer.


Inicio
Política





